Skip to content
001 234 56 78
SoHo 94 Broadway St New York, NY 1001
Mon. - Fri. 10:00 - 19:00
Facebook page opens in new window
X page opens in new window
YouTube page opens in new window
Best Orthodontist
الرئيسية
للمرضى
-الزيارة الأولى
تعليمات المرضى
الأسئلة الشائعة
التثبيت والعناية بعد العلاج
شهادة المريض
قبل وبعد
الخدمات
تقويم الأسنان المعدني والكريستالي في الرياض
المثبتات
التقويم الشفاف والإنفزلاين في الرياض
تقويم الأسنان للأطفال والمراهقين والبالغين
تعديل النمو وتقويم الوجه والفكين
المدونة
تواصل معنا
اللغة
Arabic
English
الدردشة معنا
Make an appointment
الرئيسية
للمرضى
-الزيارة الأولى
تعليمات المرضى
الأسئلة الشائعة
التثبيت والعناية بعد العلاج
شهادة المريض
قبل وبعد
الخدمات
تقويم الأسنان المعدني والكريستالي في الرياض
المثبتات
التقويم الشفاف والإنفزلاين في الرياض
تقويم الأسنان للأطفال والمراهقين والبالغين
تعديل النمو وتقويم الوجه والفكين
المدونة
تواصل معنا
اللغة
Arabic
English
الدردشة معنا
قبل وبعد العمل
You are here:
Home
قبل وبعد العمل
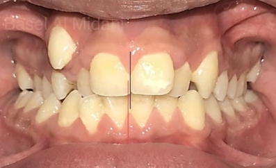
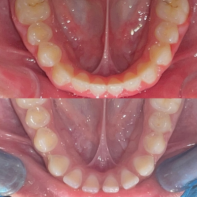
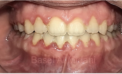
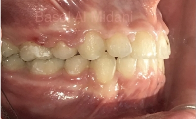
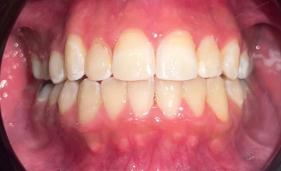
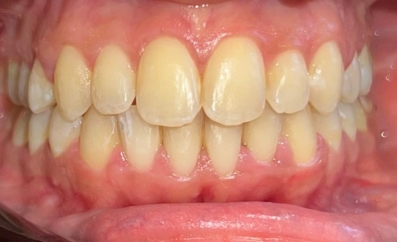
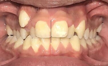
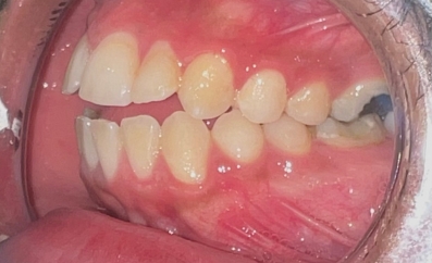
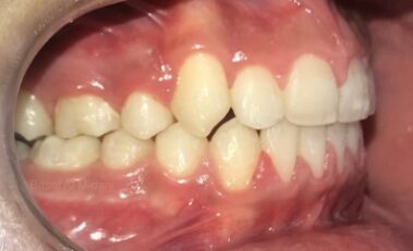
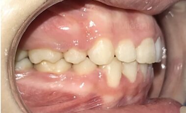
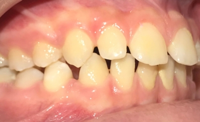
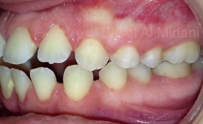
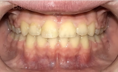
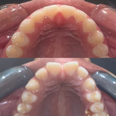
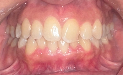
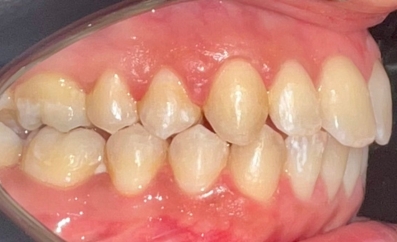
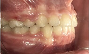
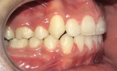
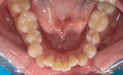
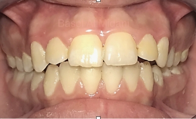
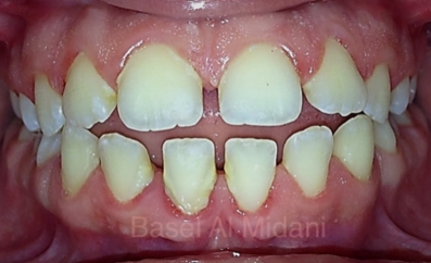
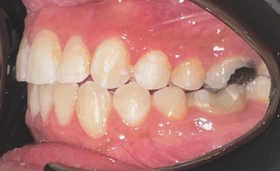
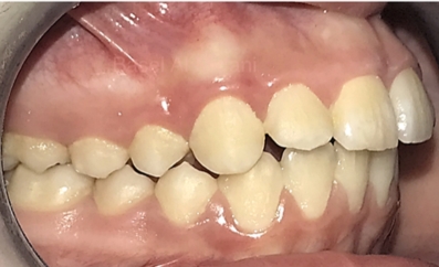
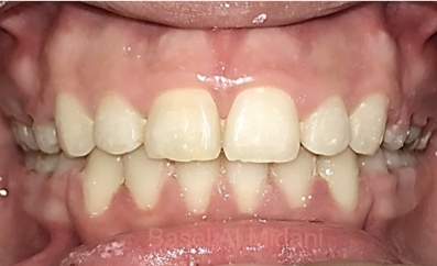
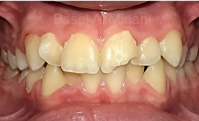
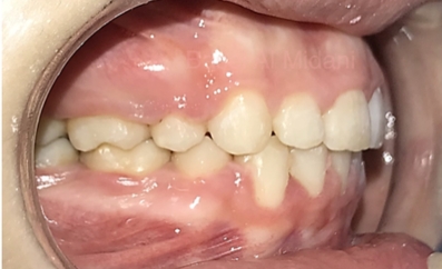
الحالة 1
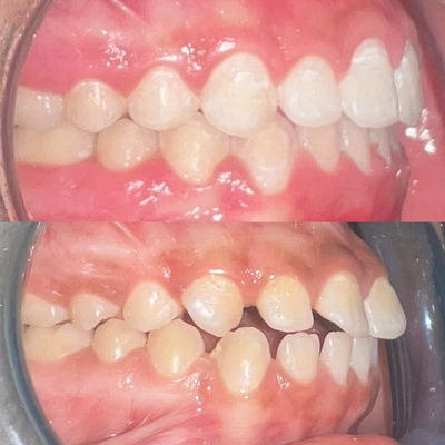
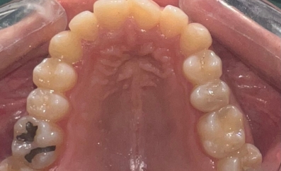
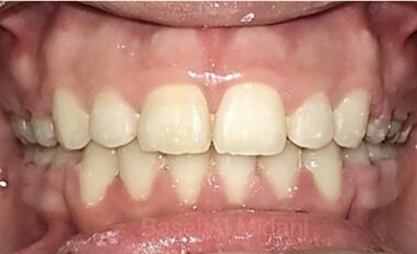
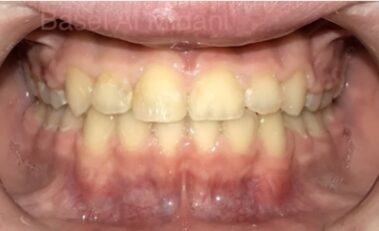
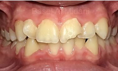
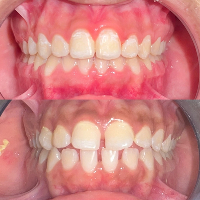
الحالة 2
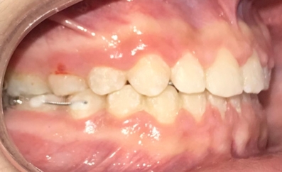
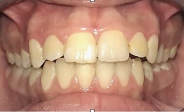
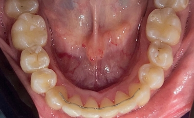
الحالة 3
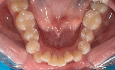
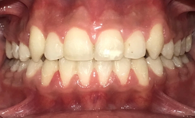
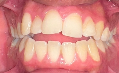
الحالة 4
الحالة 5
الحالة 6
الحالة 7
الحالة 8
الحالة 9
Go to Top